Solicita tu cotización o déjanos tu mensaje: te respondemos pronto.
Ultrasonido De Diagnostico Consona N9
El Mindray Consona N9 es un sistema de ultrasonido de diagnóstico premium que redefine la eficiencia. Diseñado para ofrecer una calidad de imagen excepcional y una productividad sin igual , integra soluciones asistidas por inteligencia artificial y una ergonomía avanzada para simplificar los exámenes y ofrecer un diagnóstico rápido y confiable.
Familia de Transductores
SC5-1N
(Single Crystal Convexo)
Lorem ipsum dolor sit amet, consectetur adipiscing elit. Ut elit tellus, luctus nec ullamcorper mattis, pulvinar dapibus leo.
SD8-1
(Single Crystal Volumetrico)
V11-3H
(Endocavitario)
Consona N9
El sistema de ultrasonido Consona N9 redefine la excelencia en calidad de imagen y ergonomía, estableciendo un nuevo estándar en entornos de servicios compartidos. Diseñado para satisfacer las necesidades de los departamentos de salud femenina, radiología y cardiología, ofrece una amplia gama de transductores, funciones avanzadas y una batería de escaneo, maximizando el rendimiento más allá de la calidad de imagen y mejorando la experiencia del usuario y del paciente.
El sistema Consona N9 mejora el flujo de trabajo al minimizar las pulsaciones repetitivas de teclas y garantizar la uniformidad entre usuarios. Incorpora la revolucionaria tecnología ZONE Sonography® Technology + (ZST ) de Mindray, la primera arquitectura de formación de haces virtual del sector, que crea una imagen perfectamente enfocada en cada píxel y fotograma.

Soluciones clínicas integrales
SOLUCION DE IMAGENES GENERALES
iTouch+
- Optimización de imágenes en tiempo real

SOLUCION DE SALUD PARA MUJERES
OB Inteligente
- Medición automática de datos biométricos
fetales

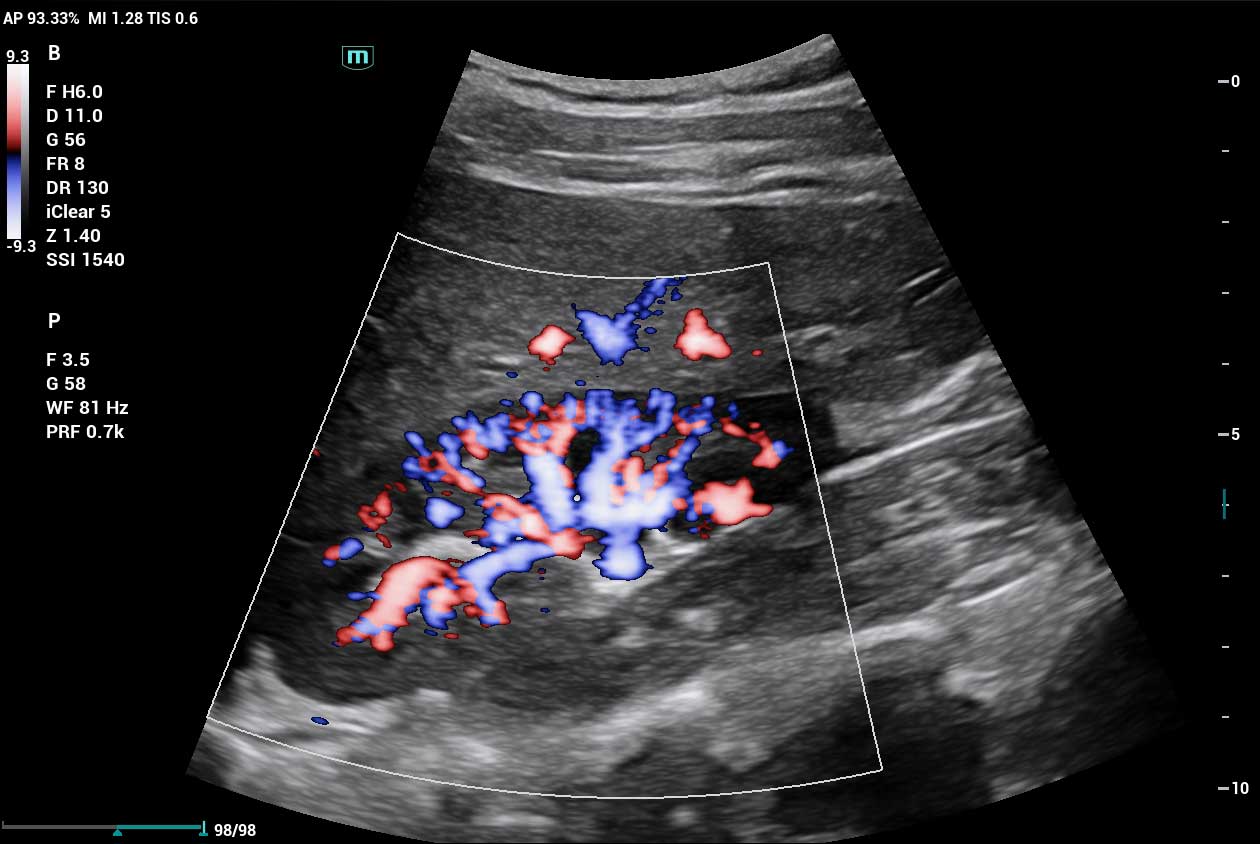
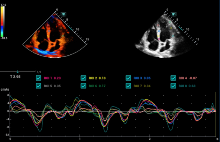
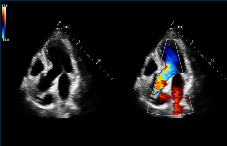
SOLUCION CARDIOVASCULAR
Auto EF
Medición automática de la fracción de la eyección mediante fotogramas de diástole/sístole.


Ventajas que transforman su Diagnóstico:
- Monitor Full HD de 23.8″ sin marcos.
- Brazo flotante de doble ala.
- Pantalla táctil full-HD de 15,6″.
- Espacio de almacenamiento.
- Panel de control giratorio a prueba de agua y polvo para
una fácil limpieza. - Diseño con reducción de ruido.
- Altura ajustable.
- Panel a prueba de agua y polvo.
- Batería integrada que permite la exploración sin alimentación de CA.
- Cubierta frontal magnético para una organización sencilla de los cables.
Lorem ipsum dolor sit amet, consectetur adipiscing elit. Ut elit tellus, luctus nec ullamcorper mattis, pulvinar dapibus leo.
Que dicen nuestros clientes?
“
Dr. Luis Herrera
Dra. Mariano Soto
Dr. Javier Morales
Mas de nuestro productos
Contamos con una variedad de productos de equipo médico especializado